Chào bác sỹ! Em đang muốn thẩm mỹ lại chiếc răng cửa bị mất của mình nhưng không biết là nên sử dụng phương pháp trồng răng sứ nào tốt. Mong bác sỹ tư vấn chi tiết về hai phương pháp trồng làm cầu răng hay ghép răng sẽ tốt hơn ạ? Chân thành cảm ơn bác sỹ! (Đỗ Minh Nguyệt – Hà Nội)
Chào bạn Minh Nguyệt!
Rất cảm ơn bạn đã tin tưởng và chia sẻ băn khoăn với chúng tôi. Về thắc mắc: “Phương pháp trồng răng sứ bằng cầu răng hay ghép răng tốt hơn” của bạn, Nha khoa Paris xin được giải đáp cụ thể như sau:
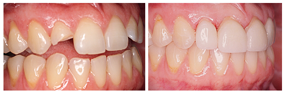
Răng sứt chỉ cần bọc răng sứ bằng công nghệ hiện đại Răng sứ CT 5 chiều
Cầu răng hay ghép răng đều là những cách tốt để phục hình lại răng cho giống với răng thật. Tuy nhiên, tùy vào điều kiện kinh tế, yêu cầu tuổi thọ và tình trạng hỏng và mất răng cụ thể để lựa chọn các phương pháp trồng răng sứ này cho phù hợp.
Trước hết xin lưu ý với bạn là chỉ nền tính đến việc sử dụng một trong hai cách trồng răng này khi đã mất răng hoàn toàn, hoặc chiếc răng bị sứt không thể phục hồi lại được. Và nếu có điều kiện thì nên cấy ghép răng sẽ tốt hơn về lâu dài. Cụ thể tại sao, bạn có thể tham khảo chi tiết hơn về cả 2 phương pháp cầu răng và Implant TẠI ĐÂY.
Nếu chiếc răng sứt nặng nhưng vẫn có thể phục hồi được thì nên bọc sứ lại cho răng để tránh phải trồng răng phức tạp và tốn kém.
Bọc răng là kỹ thuật tạo hình một thân răng sứ giống với chiếc răng thật ở vị trị răng sứt để chụp lên trên chiếc răng đã sứt. Với điều kiện là chiếc răng thật bị sứt nhưng vẫn tạo hình được thành cùi răng để làm điểm tựa cho vỏ răng sứ.
Khi đó, bạn sẽ không phải tác động đến xương hàm (như ghép răng) không mài thêm răng thật khỏe manh (như làm cầu răng) và chỉ phải dùng đến 1 thân răng sứ nên tiết kiệm được chi phí hơn.
Bởi vậy, bạn nên đến trực tiếp Nha khoa Paris để bác sỹ kiểm tra xem tỷ lệ răng sứ là bao nhiêu, có thể phục hình trên nền chiếc răng này hay không. Chỉ khi không thể duy trì răng này thì mới tính đến các phương pháp trồng răng sứ là làm cầu răng hoặc ghép răng implant. Nhưng nếu có thể làm răng sứ thì bác sỹ sẽ cố gắng đê phục hồi lại cho bạn.
Trong trường hợp bọc được răng sứ, bạn sẽ được ứng dụng công nghệ CT 5 chiều hiện đại do các chuyên gia nha khoa Pháp sáng chế thành công và hiện chỉ chuyển giao độc quyền cho Nha khoa Paris.

Công nghệ làm cầu răng sứ mới nhất tại nha khoa Paris
Công nghệ này có thể đem đến cho bạn những chiếc răng sứ trùng khớp với răng thật trên tất cả các tiêu chí về độ bền, độ cứng, chịu lực và đàn hồi cũng như về hình thể, gờ rãnh, màu sắc… Răng sứ sẽ tự nhiên không thể phân biệt được với răng thật và có thể hỗ trợ nhai cắn đảm bảo bình thường.
Công nghệ giúp khắc phục được các tình huống mà các kỹ thuật làm răng thông thường dễ mắc phải như khiến răng bị đen viền, hở kẽ, kênh lệch, lỏng lẻo,…
Hàng ngàn khách hàng và bệnh nhân đã được phục hình thẩm mỹ răng thành công nhờ công nghệ này tại Paris.
Để được tư vấn chi tiết hơn, bạn có thể liên hệ về Trung tâm theo các thông tin đi kèm dưới đây, các bác sỹ luôn sẵn lòng hỗ trợ tốt nhất cho bạn dù chỉ bọc răng hay là phải ứng dụng đến các phương pháp trồng răng sứ phức tạp hơn. Cảm ơn bạn đã quan tâm đến dịch vụ!
Bọc răng sứ chính là phương pháp tạo nên một chiếc áo mới cho răng giúp bạn có một hàm răng đều, đẹp, tính thẩm mỹ cao hơn. Và những lưu ý khi bọc răng sứ thẩm mỹ dưới đây sẽ là thông tin cần thiết hỗ trợ bạn trước và sau quá trình bọc sứ. ...
Câu hỏi: Thưa bác sĩ, em bị gãy răng hàm do sâu răng, giờ chỉ còn sót lại chân răng. Lúc này, làm cầu răng có tốt không ạ? Tiện thể cho em hỏi: Làm cầu răng có đau không bác sĩ? Em rất mẫn cảm với đau nhức. Mong được bác sĩ giải đáp sớm ...
Trồng răng sứ Titan là giải pháp được khá nhiều người lựa chọn bởi khả năng khôi phục răng hoàn hảo về thẩm mỹ và chức năng nhai với chi phí hợp lý. Tuy nhiên, với những người khó tính thì có một vài vấn đề cần làm rõ về phương pháp này. Bài viết ...
Câu hỏi: Thưa bác sĩ, em bị tai nạn mất 1 răng hàm dưới, mỗi khi ăn uống thức ăn bị kẹt lại ở vùng răng bị mất. Em muốn đi trồng răng để phục hình răng vừa bị mất, nhưng em còn băn khoăn không biết trồng răng sứ giá bao nhiêu tiền là ...
Cầu răng sứ là một trong những giải pháp phục hình răng mất hiệu quả được nhiều người lựa chọn. Vậy cầu răng sứ có ưu nhược điểm như thế nào ? Bài viết này sẽ giúp bạn đọc có cái nhìn toàn diện nhất về phương pháp này. 1. Cầu răng sứ là gì? ...
Làm răng sứ là kỹ thuật nha khoa tiên tiến nhằm khôi phục tính thẩm mỹ cũng như chức năng ăn nhai của hàm răng. Vậy cụ thể thì phương pháp này có ưu điểm như thế nào và chi phí như thế nào? Hãy cùng chúng tôi tìm hiểu qua bài viết dưới đây. ...
Comments are closed.
Hãy để lại bình luận của bạn bên dưới!
Nhập thông tin của bạn
×