Home Tin tức trồng răng thẩm mỹ Top Những biện pháp Cấy Răng hiệu quả nhất năm 2017

Top Những biện pháp Cấy Răng hiệu quả nhất năm 2017

Để cấy răng Implant bạn có thể thực hiện theo hai hướng, hoặc là cấy ghép theo kỹ thuật cơ bản, hoặc là ứng dụng theo công nghệ ghép răng Implant 4S hiện đại. Ngoài những biện pháp cấy răng hiệu quả nhất này ra, không còn kỹ thuật nào khác hiện nay có thể ứng dụng để phục hình Implant.

1. Phân biệt những biện pháp cấy răng hiệu quả nhất hiện nay

Cấy răng implant hiện nay chủ yếu tiến hành theo kỹ thuật cơ bản, có thể có thiết bị và máy móc tốt hoặc không tùy từng địa chỉ. Đây cũng là kỹ thuật được áp dụng rộng rãi hiện nay. Nhưng liệu đây có phải là biện pháp cấy răng hiệu quả nhất hay không?

Top Những biện pháp Cấy Răng hiệu quả nhất năm 2017 - ảnh 1Cấy Implant cần đến những kỹ thuật phục hình hiện đại

Thực tế, biện pháp cấy ghép này có nhược điểm lớn là phải phụ thuộc hoàn toàn vào tay nghề của bác sỹ. Cho nên, muốn cấy Implant được tốt, bệnh nhân bắt buộc phải tìm bác sỹ giỏi. Tất cả những yếu tố khác đều đóng vai trò phụ. Cho nên, nhiều khi máy móc cũng như quy trình không được tối ưu khiến cho việc cấy ghép trở nên quá nặng nề đối với người điều trị.

Vì thế, để tối ưu hóa toàn bộ quy trình trồng răng implant này nhằm đảm bảo cho mức độ thành công của cấy ghép cao hơn, an toàn và nhẹ nhàng nhất, các chuyên gia phục hình hàng đầu thuộc Bệnh viện Răng hàm mặt danh tiếng Forsyth – Hoa Kỳ đã nghiên cứu và ứng dụng thành công công nghệ Ghép răng Implant 4S hiện đại, được Hiệp hội Nha khoa Hoa Kỳ công nhận đạt tiêu chuẩn Y khoa Quốc tế.

Công nghệ Implant 4S ra đời đã cải tiến tổng thể quá trình cấy ghép răng, chú trọng vào cả máy móc thiết bị, quy trình công nghệ, các thao tác, vật liệu, gây tê,…Tất cả đều được tối ưu ở mức cao, bác sỹ vẫn có vai trò quan trọng nhưng hoàn toàn chủ động và thao tác thoải mái hơn, hỗ trợ gia tăng hiệu quả tay nghề lên rất nhiều, độ lao lực bỏ ra ít hơn. Và ngay chính cả người phục hình cũng được trải qua cảm giác trồng răng nhẹ nhàng và thoải mái hơn rất nhiều. Lý do tại sao bạn có thể theo dõi ở phần tiếp theo.

Top Những biện pháp Cấy Răng hiệu quả nhất năm 2017 - ảnh 2Công nghệ cấy ghép răng tốt nhất hiện nay thương hiệu Pháp

2. Ưu điểm của biện pháp cấy răng hiệu quả nhất Ghép Implant 4S

Sở dĩ, Implant 4S là biện pháp cấy răng hiệu quả nhất là bởi nó có thể mang đến quá trình cấy ghép đơn giản hơn với những giá trị phục hình vô cùng vượt trội.

– Mỗi một trụ răng đi vào trong xương chỉ mất khoảng 15 phút, không bằng một ca nhổ răng thông thường,

– Để đặt trụ vào trong xương hàm hoàn toàn không phải tách nướu mà đặt thẳng trực tiếp bằng thiết bị chuyên dụng nên hạn chế xâm lấn và giảm thiểu đau nhức rất đáng kể cho bệnh nhân,

– Công nghệ hỗ trợ cho trụ răng tích hợp với xương hàm vô cùng nhanh chóng nên xương và nướu cũng lành thường rất nhanh. Tổng thời gian phục hình có thể rút ngắn được từ 3 – 4 tuần,

– Tất cả các chỉ định và thao tác đều đảm bảo chính xác cao nhờ sự phán đoán và phân tích cụ thể dựa trên kết quả chụp phim khảo sát kỹ lưỡng. Kết hợp với kỹ thuật giỏi của bác sỹ, tất cả các thao tác đều đảm bảo không xảy ra sai khác,

– Răng đươc khôi phục hoàn hảo về màu sắc, hình thể cũng như tỷ lệ và các gờ rãnh. Đặc biệt, độ chịu lực và bền chắc của răng giả sẽ không thua kém so với răng thật. Nhờ vậy, chức năng của răng được đảm bảo vô cùng tốt.

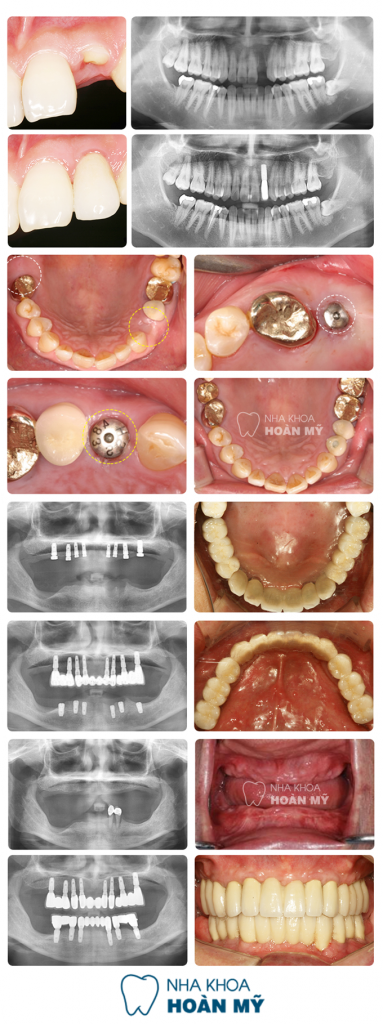
Top Những biện pháp Cấy Răng hiệu quả nhất năm 2017 - ảnh 3Những ca cấy răng thành công tại Nha khoa Paris bằng công nghệ hiện đại

Hiệu quả thực tế đạt được từ công nghệ này đã được kiểm chứng rõ ràng và chắc chắn qua hàng ngàn ca phục hình mất răng, thiếu răng tại Nha khoa Paris. (Xem chi tiết các ca điều trị này TẠI ĐÂY).

Sau nhiều năm ăn nhai và tái khám, bệnh nhân cũng như khách hàng đều có những phản hồi rất tích cực về chiếc răng Implant.

Để được Forsyth chuyển giao độc quyền công nghệ này, Nha khoa Paris đã phải trải qua không ít những kiểm định khắt khe về năng lực chuyên môn và trình độ tay nghề một cách toàn diện cũng như khả năng ứng dụng công nghệ hiện đại qua nhiều ca trồng răng thực tế. Bởi vậy, nếu ứng dụng công nghệ này tại Trung tâm, bạn có thể hoàn toàn yên tâm. Đó sẽ là biện pháp cấy răng hiệu quả nhất mà bạn được trải nghiệm.

Nếu muốn được tư vấn thêm các vấn đề khác liên quan đến cắm răng giả và phục hình thẩm mỹ răng, bạn có thể liên hệ theo số Hotline 1900 6900, các bác sỹ sẽ tận tình tư vấn cho bạn.

Comments are closed.

Hãy để lại bình luận của bạn bên dưới!

BÀI VIẾT LIÊN QUAN
[THÔNG BÁO] LỊCH NGHỈ TẾT VÀ KHAI XUÂN CANH TÝ NHA KHOA PARIS TOÀN QUỐC

[THÔNG BÁO] LỊCH NGHỈ TẾT VÀ KHAI XUÂN CANH TÝ NHA KHOA PARIS TOÀN QUỐC

LỊCH NGHỈ TẾT VÀ KHAI XUÂN CANH TÝ NHA KHOA PARIS Chào mừng xuân Canh Tý 2020, hệ thống chuỗi nha khoa Paris – nha khoa tiêu chuẩn Pháp kính chúc quý khách hàng một mùa xuân tràn đầy hạnh phúc, ấm áp, một năm mới SỨC KHỎE – AN KHANG – THỊNH VƯỢNG. Đồng ...

Cách làm răng nanh dài ra tự nhiên nhanh chóng Đẹp – Thẩm mỹ tại nhà

Cách làm răng nanh dài ra tự nhiên nhanh chóng Đẹp – Thẩm mỹ tại nhà

Có một số người sở hữu những chiếc răng nanh ngắn, nhìn không hợp với khuôn mặt nên muốn làm răng nanh dài ra và nhọn hơn. Cũng có một số bạn trẻ muốn phá cách làm cho chiếc răng nanh của mình nhọn và dài hơn bình thường để tạo sự mới lạ. Nếu ...

THẨM MỸ RĂNG, ĐẸP PHẢI AN TOÀN – OFF ĐẾN 50%

THẨM MỸ RĂNG, ĐẸP PHẢI AN TOÀN – OFF ĐẾN 50%

THẨM MỸ RĂNG, ĐẸP PHẢI AN TOÀN – OFF ĐẾN 50% Duy nhất từ ngày 1/7 – 31/7/2020, hệ thống nha khoa tiêu chuẩn Pháp sẽ áp dụng ưu đãi CỰC LỚN lên đến đến 50% cho các dịch vụ: Tẩy trắng răng, bọc răng sứ thẩm mỹ, niềng răng, trồng răng implant,… Quý khách ...

NHA KHOA PARIS THÔNG BÁO: LỊCH NGHỈ TẾT VÀ KHAI XUÂN KỶ HỢI 2019

NHA KHOA PARIS THÔNG BÁO: LỊCH NGHỈ TẾT VÀ KHAI XUÂN KỶ HỢI 2019

LỊCH NGHỈ TẾT VÀ KHAI XUÂN KỶ HỢI 2019 Chào đón Xuân Kỷ Hợi 2019, Nha khoa Paris xin trân trọng gửi đến Quý khách hàng những lời chúc tốt đẹp nhất. Kính chúc Quý khách hàng cùng gia đình một năm mới AN KHANG – THỊNH VƯỢNG – VẠN SỰ NHƯ Ý. Đồng ...

Răng số 7 bị lung lay, vỡ, hỏng có nên nhổ đi trồng lại không? Giá bao nhiêu?

Răng số 7 bị lung lay, vỡ, hỏng có nên nhổ đi trồng lại không? Giá bao nhiêu?

Câu hỏi Chào bác sĩ, em bị sâu nặng ở răng số 7 hàm trên và bắt đầu lung lay. Em đang muốn nhổ đi để trồng răng giả nhưng không biết có đảm bảo an toàn và chức năng ăn nhai được khôi phục như cũ không. Vậy mong bác sĩ tư vấn giúp ...

Mài cùi răng có đau không và biến chứng gì?【Chuyên gia tư vấn】

Mài cùi răng có đau không và biến chứng gì?【Chuyên gia tư vấn】

Câu hỏi: Thưa bác sỹ, em có thắc mắc: Mài cùi răng có đau không và liệu có biến chứng gì không ạ? Vì em có hai chiếc răng cửa khá to, trông thô lắm. Mọi người thường trêu em là hô răng thỏ, khiến em rất tự ti. Bạn em khuyên em nên đi ...